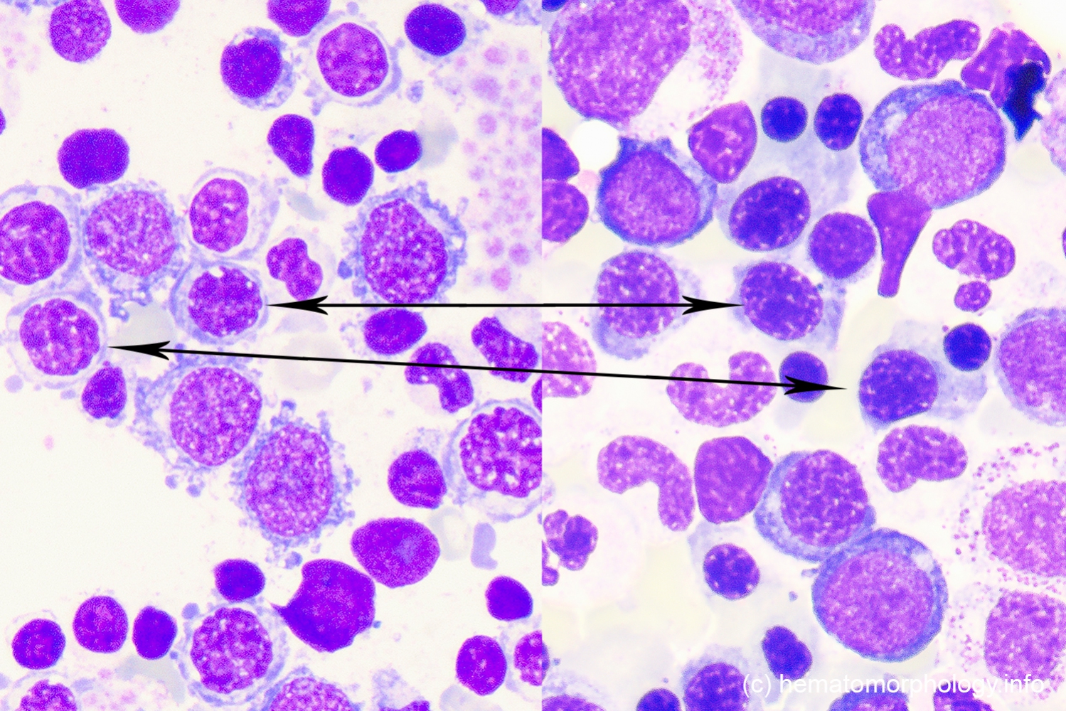
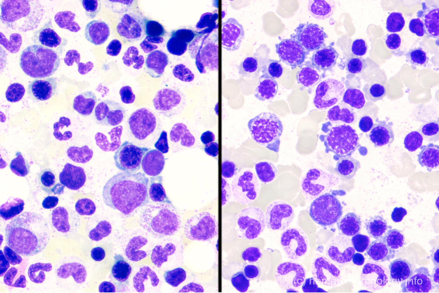
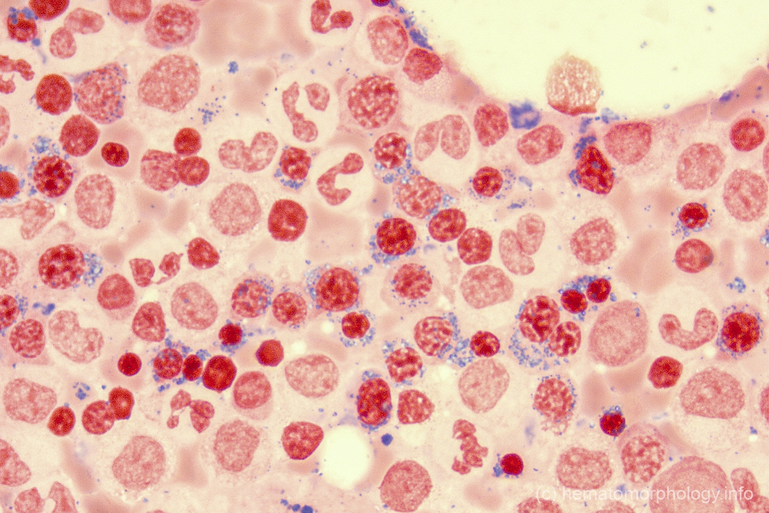
Demo page 8: Dysplasia Erythropoiesis

 

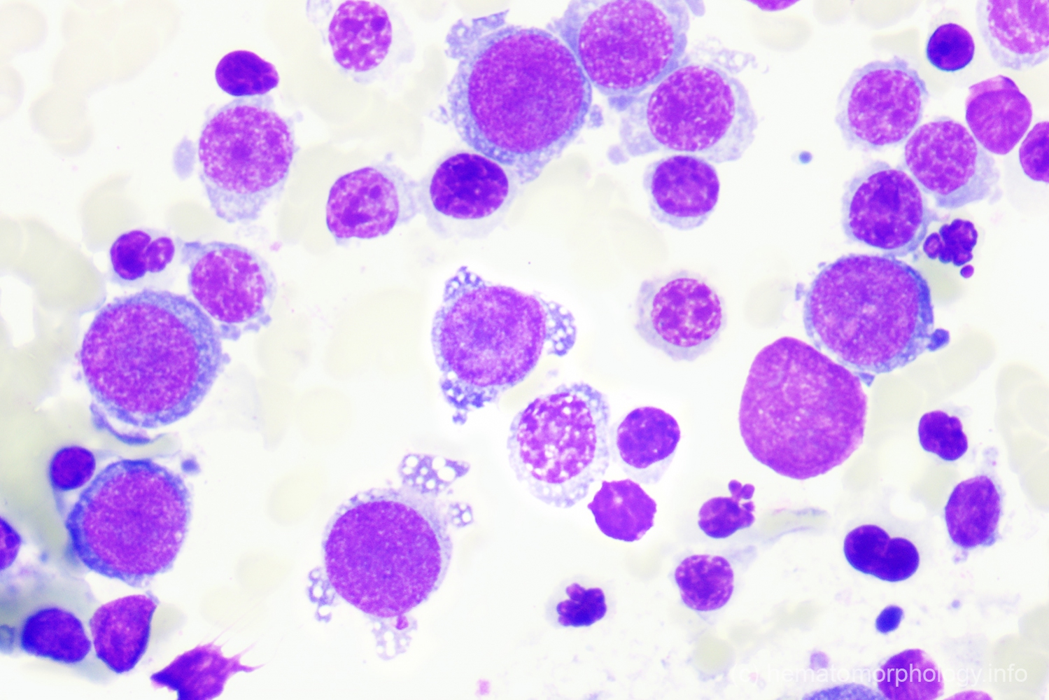
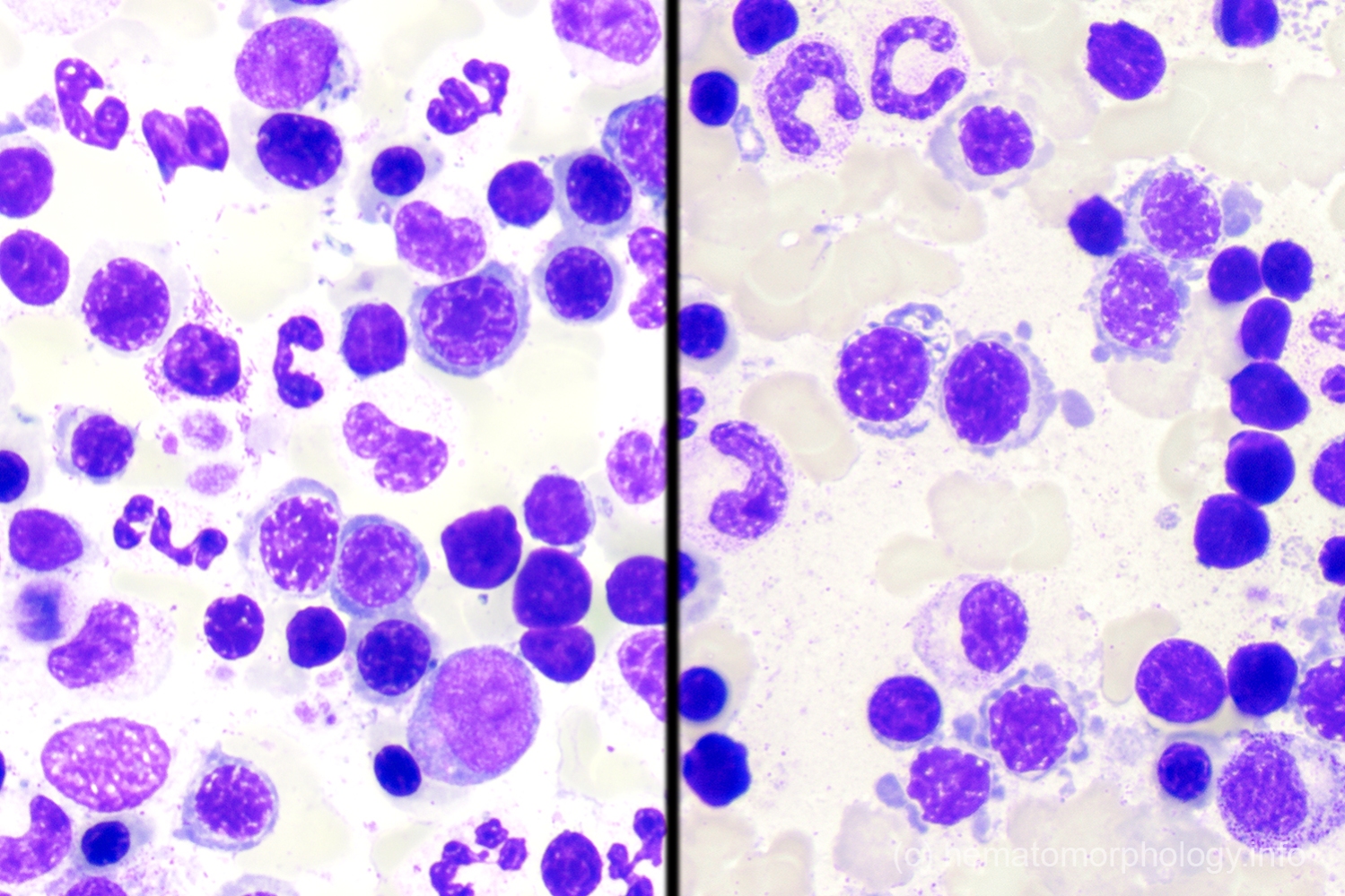
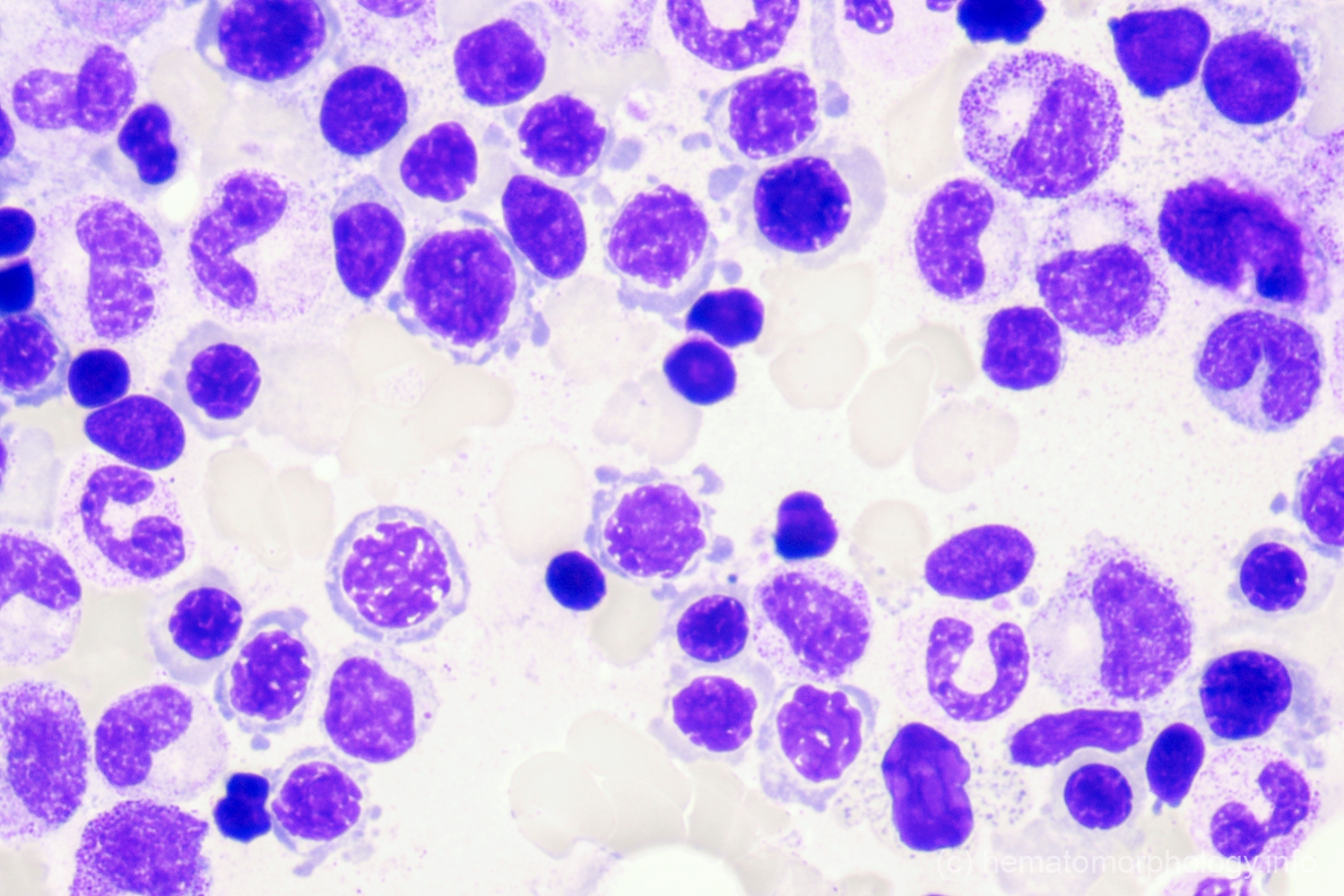
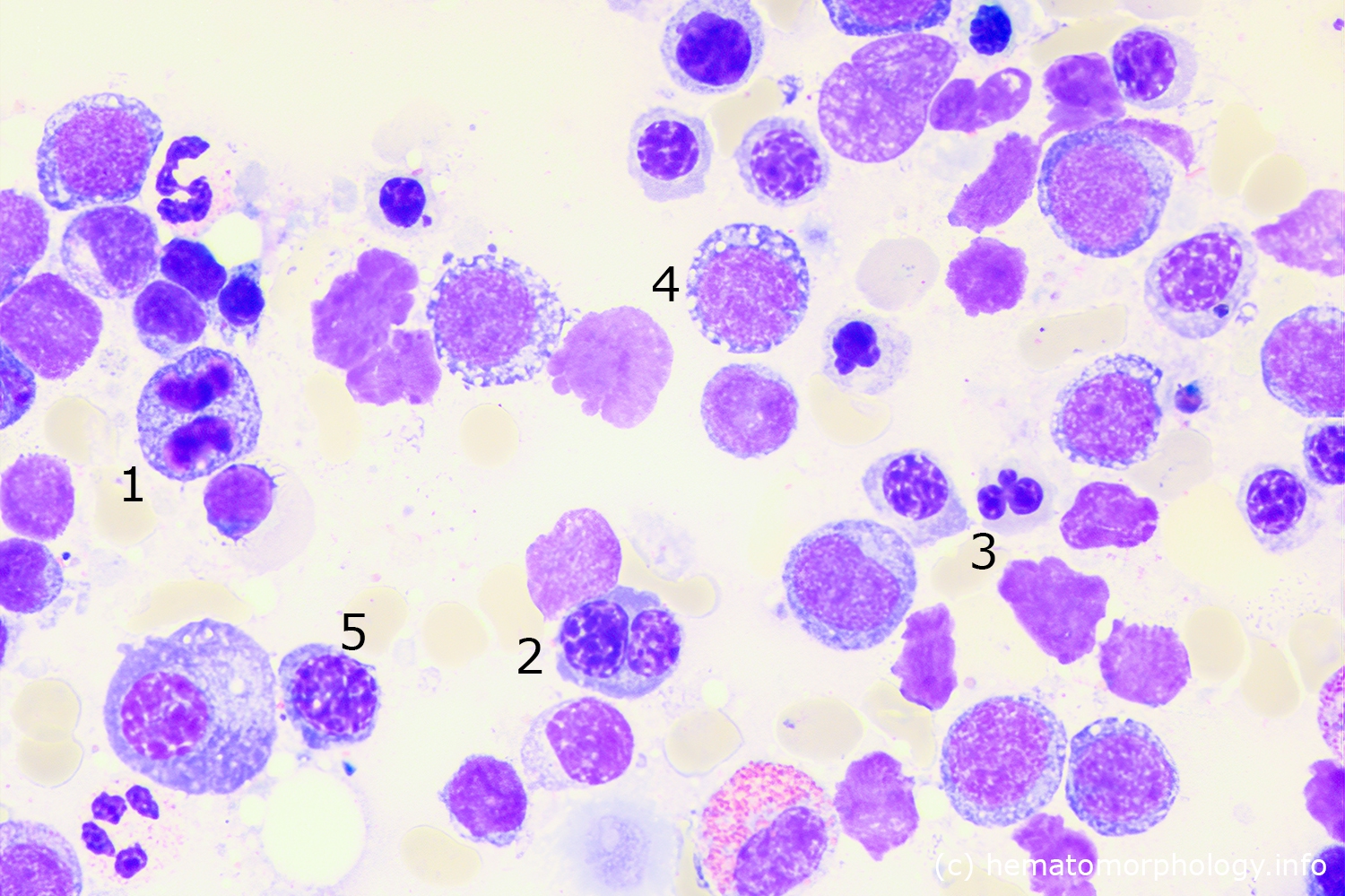
Dysplastic erythropoiesis manifests by changes in nucleus and cytoplasm: asynchronisity between maturation of nucleus and cytoplasma , abnormal clumpy chromatin condensation, multinuclearity, internuclear bridging, karyorrhexis, atypical mitosis, abnormal lobulation, irregular nuclear outline (with budding), irregular cytoplasm outline (with budding), vacuolisation, basophilic stippling and the presence of ring sideroblasts.

Return to index demo pages